通常来说“白肺”是指急性呼吸窘迫综合征,主要发生在重症感染时,双肺弥漫性病变进展迅速,其症状和严重程度都与支原体肺炎不同。

流感导致的白肺是什么意思?
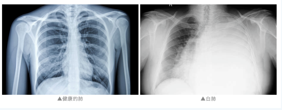
白肺是一个口语化的描述,指流感导致的并发病毒性肺炎在影像学上呈现为肺部高密度影,看不到正常的肺纹理。这种情况通常表明患者肺里肺炎浸润影的面积超过了75%。白肺患者会出现呼吸困难、低氧血症等症状。流感是一种病毒感染,其症状较一般的普通感冒更为严重,包括鼻塞、流涕、咽痛、咳嗽和发热等。部分患者可能会出现并发病毒性肺炎等病变,在胸部平片或者胸部CT上显示大片白色影像,严重威胁患者的健康。对于流感导致的白肺患者来说,病情会非常严重,需要及时住院治疗,以免延误治疗时机导致病情进一步恶化。
心理学与生活紧密相连,我们在生活中遇到的各种情况都可以通过心理学的角度来分析和理解,从而帮助我们更好地应对挑战,减少盲目性和无助感。 精神胜利法是一种将心理学应用于生活的策略[详细]
2024-11-28 12:15:43如果6岁男孩的膝盖下经常出现红色小点,这可能是由多种原因引起的,比如蚊虫叮咬、湿疹或过敏等。每种情况都有特定的处理方式,因此建议及时带孩子去看医生,获得专业的诊断和治疗建议。 在炎热的夏季,蚊虫叮咬比较常见[详细]
2024-11-28 12:15:43两条杠一深一浅,如果使用的是早孕试纸,这通常表示弱阳性。这种情况可能是因为妊娠时间较短或胚胎发育不良,也可能是检测不准确导致的假阳性。若使用排卵试纸,则需根据测试的具体时间来判断是否正常[详细]
2024-11-28 11:08:34如果你发现嘴巴里长了几个白色小点,可能是口腔溃疡、鹅口疮、牙龈炎或疱疹病毒感染等问题。如果这些白点持续存在或伴有其他不适症状,最好尽快就医以获得专业诊断和治疗。 口腔溃疡常见于维生素缺乏或口腔创伤后,表现为白色斑块状隆起,伴有疼痛和灼热感[详细]
2024-11-28 11:08:34被蚊虫叮咬后出现红肿是很常见的现象,这通常是由于蚊虫在叮咬时将唾液注入皮肤,引发过敏反应。虽然具体是哪种蚊虫叮咬的可能不容易确定,但常见的叮咬者包括蚊子、跳蚤和臭虫[详细]
2024-11-28 10:03:47舌头上出现异物感和小疙瘩可能让人感到不安,但这并不一定意味着严重的健康问题。这种现象可能是多种因素导致的,具体原因需要通过专业的医疗检查来确定。常见的原因包括牛皮癣、口腔念珠菌感染、舌乳头炎、疱疹病毒感染以及非特异性溃疡等[详细]
2024-11-28 10:03:47芡实粥是一种滋补佳品,制作时需将生芡实与麦麸炒至黄色,每次取20克,搭配30克粳米或糯米,加水500毫升慢炖至粥稠。适合早晚空腹温服,但感冒、发烧、二便不畅或胸腹满者慎用[详细]
2024-11-28 09:00:04发热,医学上称为发热,当九岁儿童遇到这种情况时,并不推荐使用酒精擦拭皮肤的方法来降温[详细]
2024-11-28 09:00:04脚酸可能由多种原因引起,如踝关节炎或痛风。 踝关节炎是一种无菌性炎症,与关节退行性病变、受凉和慢性劳损等因素有关。患者常感到脚部酸痛,并伴有局部疼痛和红肿等症状。热敷可以加速血液循环,缓解酸痛感[详细]
2024-11-28 08:23:31服用诺氟沙星后出现关节疼痛可能是药物不良反应、过敏反应或骨质疏松等原因引起的。遇到这种情况,应尽快就医,并在医生指导下进行适当的治疗。诺氟沙星是一种常见的喹诺酮类抗生素,虽然它在治疗一些感染方面效果显著,但也可能带来一些不良反应[详细]
2024-11-28 08:23:30流感阳性怎么治疗?检查显示流感病毒阳性表明感染了流感,在发病初期可以根据医嘱用一些抗病毒的药物来进行治疗。流感病毒主要是通过呼吸道途径来进行传播,冬春季节属于流感的高发季,在身体抵抗力比较差的时候,比较容易被感染。...
2023-10-20 16:08:43流感阳性流感阳性怎么治疗流感病毒检测阳性是什么意思什么是肺结节好治疗吗?肺结节病一般是呼吸系统内科疾病,通常比较好治疗。肺结节病是一种呼吸系统内科疾病,是一种自身免疫性疾病,以双侧肺部对称性肺门淋巴结肿大为主,伴有咳嗽、咳痰、呼吸困难等症状。...
2023-10-23 14:28:30什么是肺结节好治疗吗肺结节症状肺结节肺结节的症状有哪些症状表现?肺部结节通常指肺结节,可单发或多发,是指肺部影像上各种大小、边缘清楚或模糊、直径小于或等于3cm的局灶性圆形致密影,可能与肺炎、肺部感染、肺部肿瘤等因素有关。一般情况下,肺结节没有明显不适症状,只能通过影像学检查发现。但是,当结节较大、增长迅速或存在恶性病变时,可能会出现咳嗽、呼吸困难、咯血等症状表现。...
2023-10-23 14:29:34肺结节的症状肺结节多少mm以上建议手术肺结节肺结节是什么意思严重吗?肺结节是指影像学上肺部出现的局灶性、类圆形、密度增高的阴影。是否严重需要结合具体情况判断。...
2023-11-10 16:37:30肺结节肺结节是什么意思肺结节多少mm以上建议手术肺结节是怎么回事?肺结节是一种病因未明的多器官、多系统的肉芽肿性疾病,一般是指在肺内出现圆形或者椭圆形的病灶,直径大多在1到3厘米,多是由于结核钙化灶或者是炎症刺激所引起的局部现象,这种情况建议及时到医院进行检查,可以行病理穿刺,大部分病人会自行缓解;但如果出现恶性结节,需要放疗、化疗、靶向治疗,同时也应该改变生活习惯,戒除不良嗜好。...
2023-11-10 16:42:00肺结节肺结节是怎么回事肺结节吃什么药散结最快如何避免流感并发症?预防流感并发症,主要包括增强体质、勤洗手、注意环境卫生、接种流感疫苗等措施。建议平时尽量避免过度劳累,注意休息,以免出现抵抗力下降,从而容易导致流感的症状。...
2023-11-10 16:45:14如何避免流感并发症怎么防止流感交叉感染流感交叉感染肺结节怎么治疗?一般情况下,治疗肺部结节的方式包括饮食调理、口服散结中成药、口服抗菌西药等。...
2023-11-10 16:49:45肺结节肺结节怎么治疗肺结节的症状流感叠加感染什么意思?新冠和流感叠加感染的意思,是指患者同时受到了新冠病毒和流感病毒,混合感染的情况。...
2023-11-10 16:50:52流感叠加感染流感叠加感染什么意思如何防止流感的传播肺结节是什么病8mm是肺癌早期吗?肺结节8mm不一定是肺癌早期,还可能是肺结核、肺错构瘤等因素造成的。...
2023-11-10 16:51:48肺结节肺结节是什么病肺结节吃什么可以散结流感交叉感染什么意思?感冒交叉感染是指患者在感冒期间,感染了不同类型的病毒,如流感病毒、腺病毒等,从而导致了感冒的交叉感染。...
2023-11-10 16:53:27流感交叉感染流感交叉感染什么意思流感叠加感染怎么办慢阻肺一般指慢性阻塞性肺疾病,是一种进行性的肺部疾病,主要特征是气道的慢性阻塞,可能会导致患者出现呼吸困难、咳嗽、咳痰等症状。患者可以在医生指导下通过一般治疗、饮食调理、药物治疗、氧疗、超短波疗法等方式进行治疗,通常效果较好。...
2023-11-15 17:16:27慢阻肺慢阻肺怎么治疗慢阻肺的主要症状CT检查只能看出已经发展成比较严重的慢阻肺,例如慢阻肺导致患者出现了肺气肿等疾病,此时进行CT检查可以明确发现肺气肿,辅助诊断慢阻肺。但如果是尚未出现明显症状的慢阻肺患者,只做CT检查则不能看出来。...
2023-11-15 17:21:15慢阻肺慢阻肺ct能查出来吗慢阻肺晚期症状支原体肺炎是由肺炎支原体所致,一般无需肺部清洗。洗肺的准确称呼是"大容量全肺灌洗术",可用于治疗职业性肺病,如矽肺、煤工尘肺、水泥尘肺、电焊肺、铸工尘肺等,以及重症或难治性支气管-肺化脓性感染、肺泡蛋白沉积症、难治性哮喘等疾病。而支原体肺炎的治疗,包括一般治疗、对因治疗、对症治疗,以及肺外并发症的治疗等方面。...
2023-11-20 15:34:25儿童支原体肺炎支原体肺炎洗肺支原体肺炎洗肺有危险吗甲乙流感症状有哪些?甲型流感和乙型流感都是由于流感病毒感染引起的,甲型流感要比乙型流感严重一些,常常会引起大流行,而乙型流感病情相对轻一些,两种流感在症状方面没有太明显的区别,主要有持续性的发热,肌肉关节疼痛,头痛头晕,身体乏力等。...
2024-01-08 16:49:38甲乙流感症状甲乙流乙流